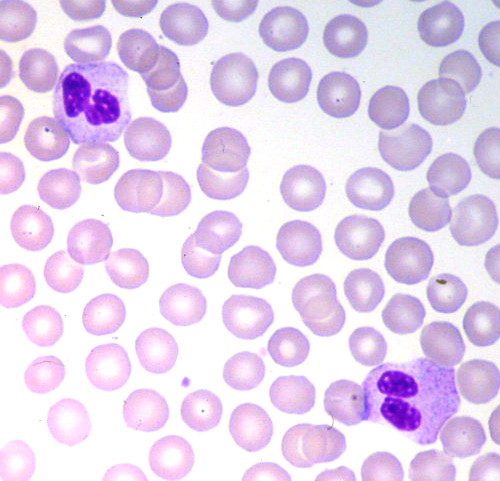
A characteristic abnormality of leukocyte morphology, PHA is a congenital laminopathy that is most apparent in neutrophils and eosinophils. The cellular structure is also abnormal, with a course and lumpy cytoplasm. It was first described by in 1928 by Karel Pelger, and identified as an inherited disorder in 1931.

Peripheral blood film with two PHA neutrophils pictured, note their non-round appearance with bilobed “pince-nez” nuclei. Image by Guy Waterval - Own work, Apache License 2.0, Link

Psuedo-Pelger-Huët (PPHA)

The anomaly may also be acquired and sometimes develops due to haematological dyscrasias such as AML, CML or MDS. The appearances are the same but PPHA is often seen in addition to leukaemic populations. The congenital form does not usually cause thrombocytopenia or leukopenias so a combined presentation warrants further investigation for MDS.